Dr. Ji Ho Ahn, Yonsei JW Dental Clinic, Seoul
Veneer Treatment for Bruxism Patient Visiting from Hong Kong

Hello,
This is Dr. Ji Ho Ahn from Yonsei JW Dental Clinic in Gangnam, Seoul, Korea.
Today, I would like to introduce a case of a male patient in his 40s who traveled from Hong Kong to Korea for an esthetic dental consultation and treatment.
Patient’s Main Concerns
Severe Tooth Wear, Sensitivity, and Uneven Front Teeth
The patient visited our clinic with complaints of significant tooth sensitivity caused by severe bruxism, as well as feeling self-conscious about his teeth when smiling. He is a medical doctor currently working in Hong Kong and decided to visit Korea specifically for a comprehensive esthetic evaluation.



Clinical Diagnosis
Generalized Anterior Tooth Wear Due to Long-Term Bruxism
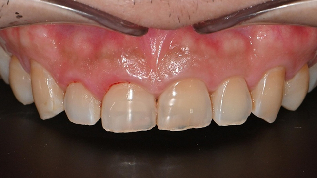
The patient’s primary concern was long-term bruxism. Due to years of tooth grinding, generalized tooth wear and fractures had developed, making the teeth appear thinner and darker. In particular, the patient was concerned that his front teeth looked uneven and short when smiling.
In addition, because he frequently drinks coffee, heavy staining was present, causing his teeth to appear significantly more aged than his actual age.
Occlusal Evaluation
Strong Anterior Bite and High Risk for Lower Anterior Veneers
Fortunately, the patient had been wearing a night guard for several years, which helped prevent severe wear of the molar teeth. If significant posterior wear had already progressed, full-mouth prosthetic rehabilitation would have been necessary, increasing treatment time, cost, and the need to adapt to a new occlusal vertical dimension.
Clinical examination revealed strong contact between the upper and lower front teeth. In such occlusal conditions, veneers on the lower anterior teeth are not recommended, as excessive functional force could significantly increase the risk of veneer fracture or debonding.



Treatment Strategy
Upper Anterior Veneers Only for Long-Term Stability
Based on the occlusal analysis, veneers were planned only for the eight upper front teeth. For the lower front teeth, we advised against immediate treatment and explained that crown treatment could be considered in the future if the patient desired more dramatic esthetic changes.
The patient understood the importance of occlusal stability and long-term prognosis and agreed with the treatment plan focusing solely on the upper anterior teeth at this stage.
Veneer Design Approach
Minimal Tooth Reduction with Natural Esthetic Results
From the perspective of ideal tooth proportions, it would have been possible to design longer front teeth. However, to maintain the patient’s gingival condition and existing occlusal vertical dimension, we recommended a design that did not deviate significantly from the original tooth shape observed at the initial visit.
Because esthetic preferences can vary greatly between patients, we created a final design using a 3D-printed mock-up and reviewed it directly with the patient to ensure maximum satisfaction.
Treatment Procedure
Upper Front Veneers Combined with Teeth Whitening
From the lateral view, the flattened and worn areas of the teeth were restored with increased volume to recreate tooth shapes appropriate for the patient’s age. To further enhance overall esthetics, teeth that were not treated with veneers underwent professional teeth whitening.
Since this case involved prosthetic restoration of worn teeth, extensive tooth reduction was not required. Only minimal preparation was performed in areas necessary for the final veneer shape. As a result, tooth preparation and impression taking were completed without anesthesia and within a short appointment time, and the patient experienced no discomfort such as sensitivity.
The final tooth shade was selected to be brighter than the original while avoiding an artificial appearance.
Treatment Results
Improved Tooth Shape, Color, and Confident Smile
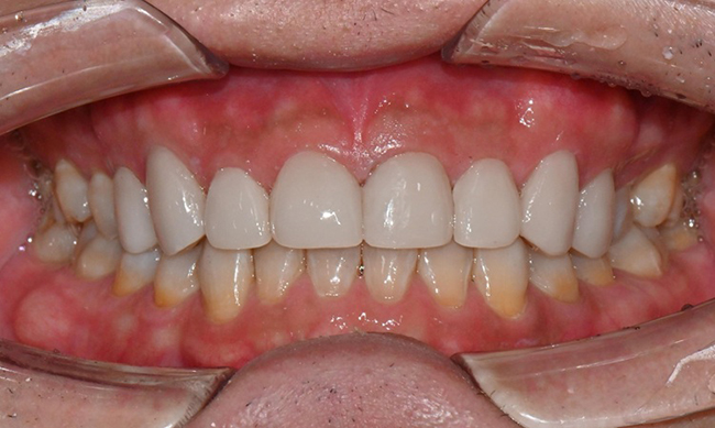
Photographs taken the day after veneer bonding show significant improvements in both tooth color and shape. Following veneer placement, the patient was able to smile with greater confidence.
Subtle improvement in upper lip support was also observed, contributing to a more youthful and age-appropriate facial appearance.






Future Treatment Plan
Possible Crown Treatment for Lower Front Teeth
The patient expressed high satisfaction with the results and plans to revisit our clinic next spring to proceed with prosthetic treatment for the lower front teeth.
Clinical Perspective
Personalized Veneer Treatment for Bruxism Patients
In cases of tooth wear, treatment planning should be based on careful analysis of multiple factors, including the cause of wear, severity and location of wear, oral hygiene status, and patient age.
In this case, veneer restoration with minimal tooth reduction was sufficient. However, depending on individual circumstances, crown restoration combined with root canal treatment may be necessary to protect the teeth. Therefore, establishing a personalized treatment plan through thorough consultation with a dentist is essential for long-term success.
🌟 Why Choose Yonsei JW Dental Clinic for Veneers?
At Yonsei JW Dental Clinic, our 1-day no-prep veneer treatment combines advanced dental artistry and precise adhesive techniques. We collaborate with world-class dental laboratories such as Oral Design, renowned for exceptional craftsmanship and aesthetics.
Dr. Ji Ho Ahn—a board-certified prosthodontist and an adjunct clinical professor at Seoul National University School of Dentistry—provides highly refined veneer results based on extensive clinical experience, delivering treatment strictly grounded in evidence-based dentistry.

If you want to preserve your natural teeth while achieving a brighter, more confident smile, we invite you to explore our veneer options at Yonsei JW Dental Clinic.
Feel free to contact us anytime — our team will be happy to answer your questions in detail and guide you through every step.
📍 Convenient Location:
Yonsei JW Dental Clinic is easily accessible from Samseong Station, Hangnyeoul Station, Daechi Station, Hanti Station, and nearby areas such as Samseong-dong, Daechi-dong, Gaepo-dong, Dogok-dong, Yeoksam-dong, Ilwon-dong, and Jamsil.
Book Online Today for Consultation!
WhatsApp: https://wa.me/8225012879
Yonsei JW Dental Clinic is located at 3F, 541 Dogok-ro, Gangnam-gu, Seoul, Korea. (06189)
📅 Contact us directly via WhatsApp, Instagram DM, calling for a consultation or appointment. (02-501-2879)
#YonseiJWDentalClinic #ProsthodontistSeoul #DentalVeneers #PorcelainVeneers #VeneersKorea #SmileMakeover #AestheticDentistry #Bruxism #WornTeeth #MinimalPrepVeneers #SeoulDentalClinic #KoreaDental
'Cosmetic' 카테고리의 다른 글
| Teeth Whitening After Orthodontic Treatment (0) | 2025.11.18 |
|---|---|
| 1-Day No-Prep Veneers in Seoul | Yonsei JW Dental Clinic (0) | 2025.11.05 |
| Treatment of Peg-Shaped Teeth – Laminate vs. Resin Veneer vs. Orthodontics (0) | 2025.10.21 |
| Korea's Best Dental Clinic for Teeth Whitening from $138 (1) | 2025.06.11 |
| Aesthetic Resin Treatment for Front Teeth: Black Triangle, Space Between Front Teeth (0) | 2025.02.27 |