
Hello, I am Dr. Jeongwon Youn, chief dentist at Yonsei JW Dental Clinic in Gangnam, Seoul, Korea.
During dental consultations, patients often ask, “Why are my front teeth so small?” This is usually due to peg-shaped teeth. Today, I would like to explain what peg-shaped teeth are and the treatment options available.
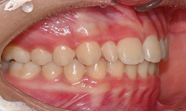
What are peg-shaped teeth?
Peg-shaped teeth are teeth that develop smaller than normal. They most commonly appear in the lateral incisors, which are located next to the upper front central incisors. These teeth often have a pointed, conical shape, which is why they are sometimes called “peg lateralis.”
Although they may simply look smaller, peg-shaped teeth are mostly genetic and arise due to differences in tooth development. It is also common to see similar tooth shapes in other family members.



What problems can peg-shaped teeth cause?
- Aesthetic concerns
Small teeth next to the front teeth can make the overall smile line appear unbalanced. Many patients mention that “my teeth look small, and it bothers me when I smile or take photos.” The spaces created by smaller teeth make these areas more noticeable. - Oral hygiene issues
Extra spaces often form around peg-shaped teeth, which can trap food particles. If not properly cleaned with floss or brushing, there is an increased risk of cavities or gum disease. - Challenges during orthodontic treatment
For patients with peg-shaped teeth undergoing orthodontics, careful planning is required to manage the remaining spaces when aligning the teeth. Some patients may not be concerned about their peg-shaped teeth at all, so treatment decisions must be made after thorough consultation.- If peg-shaped teeth are not treated, the remaining spaces can be closed, but the occlusion (bite) must be considered, since the teeth are smaller.
- If treatment for peg-shaped teeth is desired, spaces may need to be preserved or adjusted symmetrically through orthodontic movement to create sufficient space for restoration. If there is no space around the peg-shaped teeth, orthodontics may be used to slightly open the gaps to allow for proper treatment.
Treatment options for peg-shaped teeth
The choice of treatment depends on the patient’s age, tooth alignment, and overall occlusion. Common approaches include:
- Resin restoration (resin veneer)
- Laminate or crown
- Combination with orthodontic treatment
1. Resin restoration (resin veneer)
Resin treatment for peg-shaped teeth involves attaching aesthetic resin material to the small tooth with minimal or no tooth reduction, creating a natural shape and size. Resin is tooth-colored, blending seamlessly with the surrounding teeth. Compared to laminate or crown treatment, it is more cost-effective, faster, and simpler, and can often be completed in a single visit.


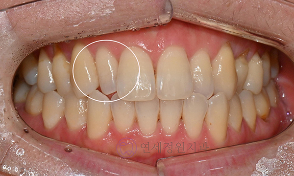
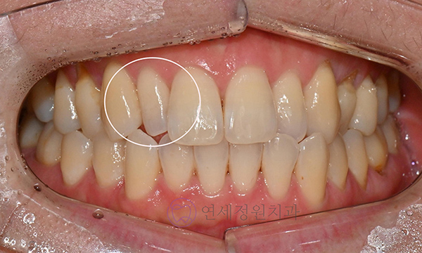
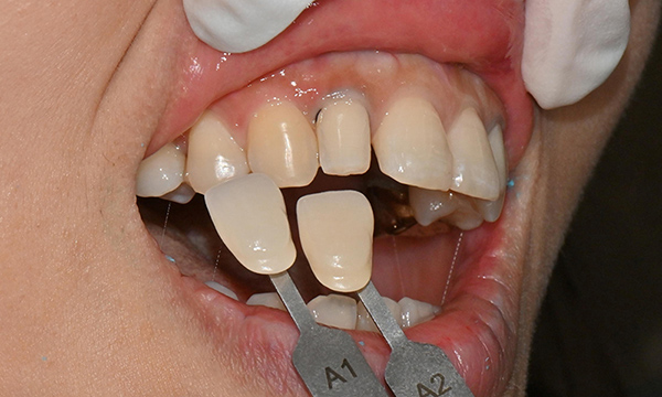
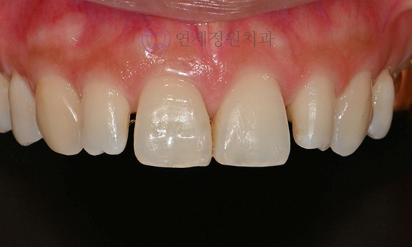
- Case example: A patient visited with a small, inward-tilted right lateral incisor that created an empty-looking space. The left lateral incisor was slightly misaligned but not peg-shaped, so only the right tooth required treatment. The tooth position was not ideal for laminate, and the patient preferred minimal tooth reduction. Therefore, a resin veneer was used to improve the size and shape instead of a crown.

- Result: The resin veneer was applied without reducing the tooth structure, using a shade similar to the natural teeth. The restoration blended naturally with the adjacent teeth.


2. Laminate (veneer) / Crown
Another treatment option is laminate or crown.
- Laminate: Minimal tooth reduction is required compared to crowns, allowing preservation of natural tooth structure. However, if the tooth axis is misaligned or the tooth protrudes, lamination may be difficult. High-stress areas may require some tooth reduction to ensure sufficient thickness and prevent fracture.
- Crown: Suitable for peg-shaped teeth that are very small, have severe shape or axis discrepancies, or have insufficient remaining structure due to decay or fracture. Crowns can improve shape, size, color, and axis of the teeth, offering both aesthetic and functional benefits. They are strong enough to withstand occlusal forces, but require more tooth reduction.
- Selection: If aesthetics and minimal reduction are priorities, laminates are preferred. If durability is the main concern, or if the tooth is decayed or fractured, crowns are more appropriate.





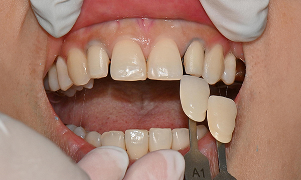
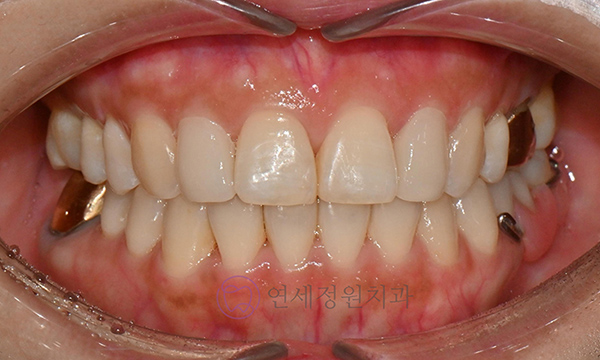
- Case example: A patient who recently completed orthodontics visited because the lateral incisors were small and protruding, affecting the smile. Minimal tooth reduction was performed, and a laminate was applied to achieve an aesthetic outcome without excessive protrusion.


- Result: Laminate treatment successfully improved aesthetics while preserving as much natural tooth as possible.




3. Combination with Orthodontic Treatment
When treating peg-shaped teeth, if the available space is too narrow or too wide, it may be necessary to redistribute the space to fit the natural tooth size. Therefore, peg-shaped tooth treatment is often combined with orthodontic treatment.




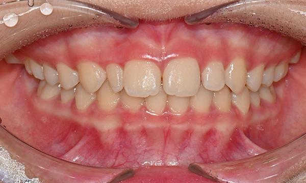
- Case example: In this patient’s case, the space for peg-shaped tooth treatment was insufficient on one side and excessive on the other. Additionally, the upper and lower dental midlines did not align. If peg-shaped tooth treatment is desired, a simple orthodontic procedure is required to redistribute the space around the teeth.
Although peg-shaped teeth are a relatively common dental anomaly, a well-planned treatment can achieve satisfactory aesthetic and functional results. Treatment is not just about increasing the size of the teeth; by combining orthodontics and restorative procedures, the overall facial harmony and bite alignment can be considered, resulting in a more natural and pleasing outcome.
If you have ever wondered, “Why are my teeth so small?”, we recommend seeking professional consultation.
Yonsei JW Dental Clinic is conveniently located near Samseong Station, Hangnyeoul Station, Daechi Station, and Hanti Station, making it easily accessible for patients from Samseong-dong, Daechi-dong, Gaepo-dong, Dogok-dong, Irwon-dong, Yeoksam-dong, and Jamsil.
Yonsei JW Dental Clinic is located at 3F, 541 Dogok-ro, Gangnam-gu, Seoul, Korea. (06189)
Convenient and free parking available
For consultations and inquiries: 02-501-2879
Book Online Today!
Whatsapp: https://wa.me/8225012879
Please feel free to contact us for any questions!
Thank you very much.
#SmallTeeth #FrontTeethTreatment #DentalAesthetics #BeautifulSmile #DentalCare #SmileTransformation #KoreaDentist #YonseiJWDentalClinic
'Cosmetic' 카테고리의 다른 글
| Teeth Whitening After Orthodontic Treatment (0) | 2025.11.18 |
|---|---|
| 1-Day No-Prep Veneers in Seoul | Yonsei JW Dental Clinic (0) | 2025.11.05 |
| Korea's Best Dental Clinic for Teeth Whitening from $138 (1) | 2025.06.11 |
| Aesthetic Resin Treatment for Front Teeth: Black Triangle, Space Between Front Teeth (0) | 2025.02.27 |
| Pros and Cons of No-prep Veneers – Yonsei JW Dental Clinic (0) | 2025.02.26 |