
Hello, this is Dr. Jeongwon Youn, Chief Dentist at Yonsei JW Dental Clinic, Gangnam, Seoul, Korea.
Today, I would like to talk about whitening treatments after orthodontic treatment. Recently, patients are no longer satisfied with just orthodontic treatment alone. Many now wish to enhance the final aesthetic outcome after orthodontics by combining treatments such as whitening or veneers along with their orthodontic care.
For example, even if teeth are properly aligned through orthodontics, if the color is dull or the shape is not ideal, patients may still feel less confident when smiling, despite completing a lengthy orthodontic process. In addition, if oral hygiene is not properly maintained during orthodontic treatment, discoloration or demineralization can occur on the tooth surfaces.
As patients’ interest in aesthetics increases, the demand for teeth whitening to enhance the aesthetic results after orthodontic treatment has also risen. In short, while orthodontics corrects the alignment of teeth, whitening plays a role in completing the patient’s smile.
Why Teeth Whitening Is Needed After Orthodontic Treatment
In the past, when patients came for whitening after completing orthodontic treatment, we sometimes found that some resin adhesive remained on the teeth after removing the brackets, causing yellow discoloration in those areas. After removing the brackets, the remaining resin should be thoroughly removed and the teeth polished for a smooth finish. If this is not done properly, plaque may accumulate around the residual adhesive, discoloration can increase, and the remaining resin itself may become discolored. In such cases, whitening after removing the residual resin can restore clean, bright teeth.


Additionally, for patients undergoing Invisalign treatment, the aligners are worn for most of the day. If brushing is insufficient before wearing the aligners, food debris or staining agents can remain between the teeth and aligner, leading to easy discoloration.
Because the aligner continuously covers the teeth, the natural cleaning effect of saliva is reduced, and yellow discoloration can occur—a situation often observed in clinical practice. Therefore, many Invisalign patients undergo whitening after completing their treatment.


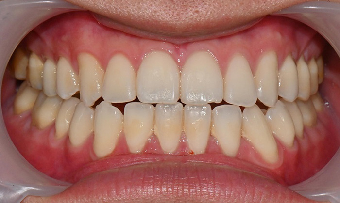
The first photo shows a patient undergoing Invisalign treatment, where staining around the attachments can be observed. The second photo shows a patient who received Invisalign abroad as a child but did not remove the attachments for an extended period. Upon visiting our clinic to complete orthodontic treatment, yellow discoloration around the attachments was visible.
Timing for Whitening After Orthodontic Treatment
So, when is the best time to do whitening after completing orthodontic treatment?
Immediately after removing braces, whitening is not recommended. The tooth surfaces can be rough and sensitive right after bracket removal. At this stage, polishing should first be done to smooth the tooth surface, followed by a period for remineralization and stabilization. During this time, the minerals in saliva, the use of fluoride toothpaste, and fluoride application help strengthen the teeth.

Typically, it is safest to start whitening about 1–2 weeks after bracket removal. During this period, contact with products containing calcium, phosphate, and fluoride in saliva allows micro-demineralized areas to naturally remineralize, restoring the strength of the tooth surface.
White Spots After Orthodontic Treatment
After orthodontics, white spots caused by demineralization often appear around bracket areas or along the gum line. These white spots result from changes in the enamel structure and are not improved by whitening. In fact, they may become more noticeable after whitening. Therefore, it is important to fully explain this to patients before starting the whitening procedure.


Whitening First or ICON Treatment First?
These white spots generally stabilize within 1–2 weeks after whitening, as the moisture inside the teeth normalizes and minor remineralization occurs, naturally reducing color contrast. However, if patients want more active improvement for white spots, ICON treatment (resin infiltration) can be considered at least two weeks after whitening.


At-Home Whitening


In addition to professional whitening at the dental clinic, patients can also do at-home whitening using dentist-prescribed 15% carbamide peroxide. At-home whitening involves wearing custom trays made to fit the patient’s teeth for a specified time each day. For patients who have undergone orthodontic treatment, using such trays is familiar and comfortable, making at-home whitening a convenient option.
Typically, at-home whitening involves wearing the trays for about 4 hours a day for 10 days. Although the immediate effects are not as noticeable as professional whitening, consistent use can provide longer-lasting whitening results.
Teeth that have been aligned through orthodontic treatment can achieve an even brighter and healthier smile through whitening. However, individual differences in teeth require careful post-whitening care and appropriate treatment intervals. By maintaining good oral hygiene and attending regular check-ups, patients can enjoy a bright smile achieved through orthodontics and whitening for a long time.
For more information,
Is the white spot on my front tooth a cavity? White spot lesion, The steps for ICON Treatment
White Spots on Front Teeth: Are They Cavities? (White Spots Treatment) ICON Resin Treatment @ Yonsei JW Dental Clinic
Hello, this is Yonsei JW Dental Clinic in Daechi-dong, Gangnam, Seoul. Do you have concerns about irregular white spots on the surface of your front teeth? White spots, commonly found on front teeth, can appear for various reasons. These white spots tend t
yonseijwdental.tistory.com
White Spots on Front Teeth: Are They Cavities? (White Spots Treatment) ICON Resin Treatment
White Spots on Front Teeth: Are They Cavities? (White Spots Treatment) ICON Resin Treatment @ Yonsei JW Dental Clinic
Hello, this is Yonsei JW Dental Clinic in Daechi-dong, Gangnam, Seoul. Do you have concerns about irregular white spots on the surface of your front teeth? White spots, commonly found on front teeth, can appear for various reasons. These white spots tend t
yonseijwdental.tistory.com
For consultations and inquiries: 02-501-2879
Book Online Today!
Whatsapp: https://wa.me/8225012879

Korea's Best Dental Clinic for Teeth Whitening from $138
Looking for a fast, safe, and effective way to brighten your smile during your visit to Korea? At Yonsei JW Dental Clinic in Gangnam, Seoul, we specialize in professional teeth whitening that delivers real results — with comfort, care, and confidence.
yonseijwdental.tistory.com
Marketing, Customer Service & Concierge Service
Powered by Find Clinic
#Orthodontics #PostOrthoCare #TeethWhitening #SmileMakeover #CosmeticDentistry #WhiteSpot #EnamelHealth #ICONTreatment #InvisalignCare #DentalAesthetics #HealthySmile #KoreanDentist #SeoulDentalClinic #ICON


