If you are searching for immediate dental implants in Korea or wondering whether a tooth can be replaced on the same day as extraction, this case may be helpful. Immediate implant placement after extraction is a treatment option that can significantly reduce overall treatment time while preserving the surrounding bone and gum tissue — when performed under the right conditions.
At Yonsei JW Dental Clinic in Gangnam, Seoul, Korea, we carefully evaluate each patient’s oral condition, bone quality, and level of inflammation before determining whether immediate implant placement is appropriate. Below, we share a real clinical case involving a lower molar extraction followed by same-day implant placement, along with a detailed explanation of the diagnosis, treatment process, and outcome.

Hello. I am Dr. Ji Ho Ahn, Director of Yonsei JW Dental Clinic.
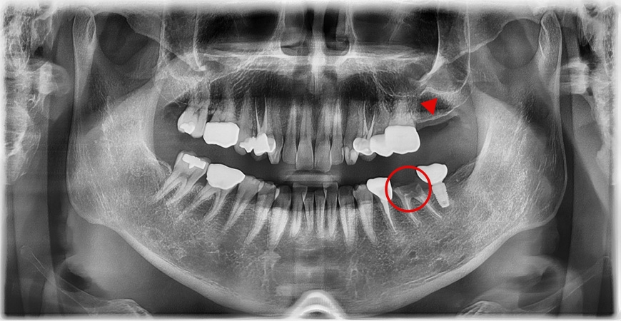
A male patient in his 40s visited our clinic stating that the gold crown on his lower left molar had come off. The crown fell out suddenly while he was eating, and at first glance, it might seem like a situation where one could think, “Isn’t it enough to just put the crown back on?” However, after carefully examining the condition of the remaining tooth following the loss of the gold crown, we found that the problem was deeper than expected.

Upon examination, the crown of the tooth was already severely decayed and had come out attached to the gold crown, leaving only the root inside the mouth, and inflammation was also observed internally.





If a certain amount of tooth structure remains above the gum line, it may sometimes be possible to save the tooth, but in cases like this, preserving the tooth is extremely difficult. Even if a crown were to be placed again, it would be unlikely to last long, and there would be a high possibility of recurring pain or reinfection. Therefore, we determined that the tooth was not restorable. After fully explaining the current condition and prognosis to the patient, we decided to proceed with extraction.
While planning the extraction, we also considered the timing of implant placement. Generally, implants are placed after waiting a certain period of time for the gums and bone to heal following extraction. However, in this patient’s case, the condition of the alveolar bone was good, and the inflammation was limited to a localized area, making immediate implant placement after extraction possible. Accordingly, we established a treatment plan to place the implant simultaneously with the extraction of the remaining root. At the same time, we also decided to place an implant in the second molar on the upper left side.


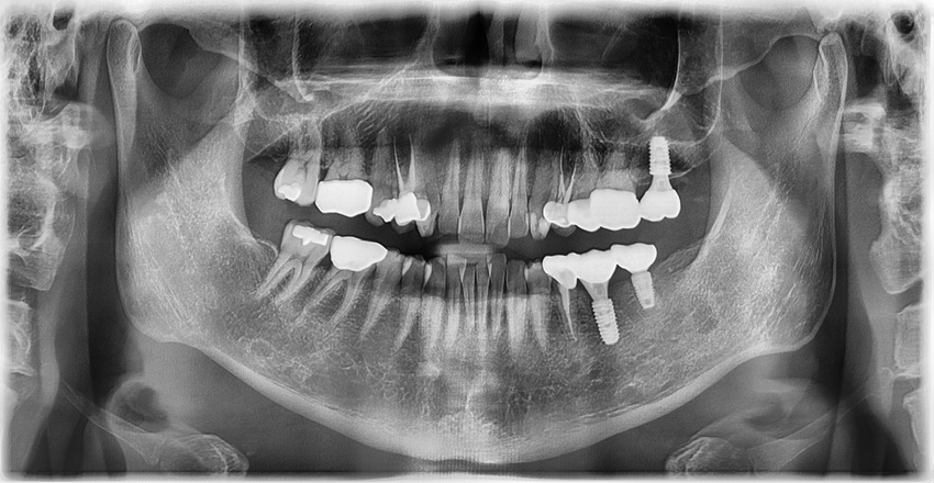
In cases like this, where the tooth root has already undergone root canal treatment and has extensive decay, it is difficult to grasp the tooth with instruments, and it tends to crumble easily, making extraction highly challenging. In particular, since we planned to place the implant immediately after extraction, preserving the surrounding bone as much as possible was crucial. After carefully extracting the root, all inflammatory tissue around the extraction site, as well as hidden calculus, was thoroughly removed. The implant was then placed on the same day as the extraction. The entire procedure was completed stably, and after surgery, the patient commented that “the pain and discomfort were less than expected.”



The greatest advantage of immediate implant placement after extraction is the reduction in overall treatment time. It shortens the waiting period after extraction by several months, minimizing the time the patient has to live without a tooth. In addition, it can help prevent rapid resorption of the alveolar bone to some extent, making immediate implant placement a good option when conditions are suitable. Furthermore, because the number of surgical procedures is reduced, the burden on the patient is relatively lower. After waiting approximately three months to allow the implant to fully integrate with the bone, we confirmed stable osseointegration and completed the final crown.

Compared to the previously placed implant behind it, which had been inserted too shallowly, this implant was placed at a sufficient depth, making it more favorable in terms of preventing peri-implantitis, one of the major complications of implants. When an adequate “safety height” of gum tissue and bone around the implant is secured, it becomes more resistant to inflammation around the implant.
When a gold crown comes off, it is often not simply a problem with the prosthesis alone. The direction of treatment can change completely depending on the condition of the tooth root or gums that are not visible on the surface. As in this case, when the tooth can no longer be preserved, immediate implant placement after extraction can reduce treatment time and discomfort, depending on the conditions. However, immediate implant placement is not a treatment that can be applied to all patients. If there is severe inflammation, significant bone loss, or systemic conditions that make recovery difficult, a staged approach may actually be safer. Therefore, rather than simply being a “fast implant,” accurate diagnosis and judgment tailored to the patient’s condition are most important.
“At Yonsei JW Dental Clinic, Dr. Ji Ho Ahn, a board-certified prosthodontist and adjunct professor at Seoul National University School of Dentistry, provides highly complete implant results based on extensive clinical experience. We strictly practice evidence-based dentistry and do not recommend unnecessary sinus lift procedures.”

During consultations, we provide detailed explanations regarding different implant options, including single implants, bridges, and full-mouth implants, as well as suitable brands and grades such as Osstem and Straumann. Through digital examinations, we establish a systematic treatment plan.
Unlike some Gangnam clinics where consultations with the dentist last only a few minutes and patients end up discussing treatment mainly with a coordinator, you can feel assured that you will receive thorough, direct consultation with the doctor and comfortably ask all your questions. Many of those considering implants may have already gathered a lot of information by searching for “Gangnam implant nearby dental clinic.” Even so, receiving a detailed explanation through an in-person consultation with a specialist can be of great help in making your decision.
Yonsei JW Dental Clinic is conveniently located near Samseong Station, Hangnyeoul Station, Daechi Station, and Hanti Station, making it easily accessible from Samseong-dong, Daechi-dong, Gaepo-dong, Dogok-dong, Irwon-dong, Yeoksam-dong, Jamsil, and other areas of Gangnam.
Google Map and Reviews
Book Online Today!
Whatsapp: https://wa.me/8225012879
Dental treatments in Seoul: 2025 Winter Promotions @Yonsei JW Dental Clinic
Christmas & New Year Special for International Visitors Planning a trip to Korea this winter?Celebrate Christmas and the New Year in South Korea while taking advantage of world-class dental care for international patients. Korea is globally known for its a
yonseijwdental.tistory.com
#ImmediateImplant #OneDayImplant #StraumannImplant #YonseiJWDentalClinic #DaechiDentalClinic #PremiumImplant #GangnamImplant #DentalImplant #RecommendedDentalClinic