
Hello, this is Dr. Jeongwon Youn, chief orthodontist at Yonsei JW Dental Clinic in Gangnam, Seoul, Korea.
When there is a severe skeletal discrepancy—such as excessive lower jaw growth or facial asymmetry—orthognathic (jaw) surgery is sometimes required along with orthodontic treatment.
However, when the skeletal imbalance is mild or when the asymmetry is due not to the jawbone itself but to a dental midline deviation, orthodontic treatment alone is often sufficient to correct it.
Let’s take a quick visual break, shall we? 😊 Even as he ages, Tom Cruise remains one of the most charismatic actors around.

Interestingly, orthodontists often use him as an example when discussing midline deviation, though most people don’t notice it because his good looks and confident smile overshadow it!

If you take a closer look at his photos, you’ll notice that his dental midline is shifted to the left.
According to reports, he injured his teeth playing hockey as a child when he was hit by a puck, which caused him to lose a front tooth. Later, he underwent orthodontic and prosthetic treatment, which resulted in his current smile. To an orthodontist’s eye, however, the off-centered midline is quite noticeable!


In his younger photos—probably taken before his prosthetic treatment—the asymmetry appears even more pronounced due to differences in tooth shape. Still, his charm makes the midline deviation barely noticeable, perhaps even adding a unique character to his smile.
Today, let’s look at a few real orthodontic cases of midline correction treated here at our clinic.



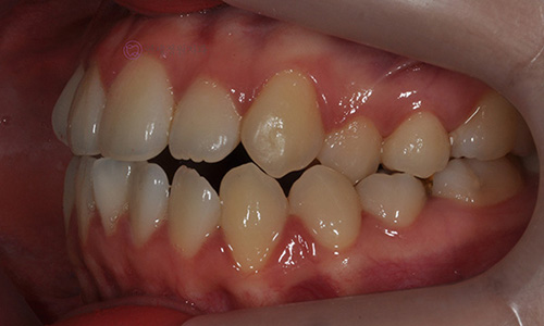
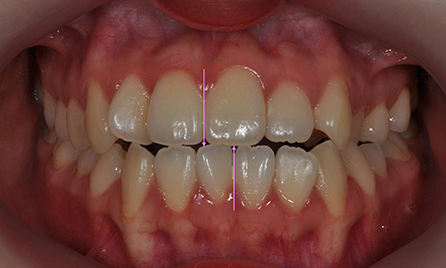
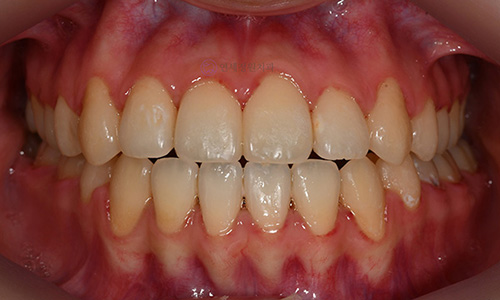
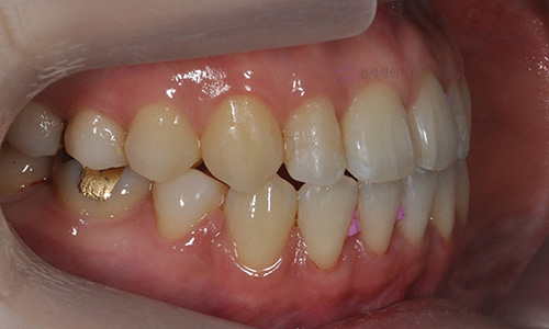
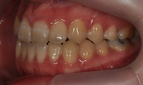
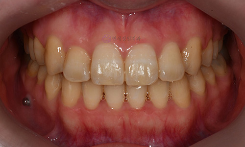
The first patient came in concerned that her dental midline didn’t align properly.
When smiling, her upper teeth were shifted to the right (left side in the photo), while her lower teeth were shifted to the left (right side in the photo). Additionally, there was an imbalance in the muscle activity around her mouth corners, making her smile appear more asymmetric—with the left corner lifting less than the right.


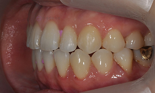
To align her dental midline with the facial midline, we extracted one lower premolar on the right side to allow the lower arch to shift rightward, and moved the upper arch slightly to the left.



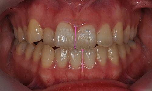
After treatment, the upper and lower midlines were perfectly aligned, and her occlusion (bite) was balanced on both sides. Although the muscle asymmetry remained, her smile appeared much more natural and symmetrical than before.


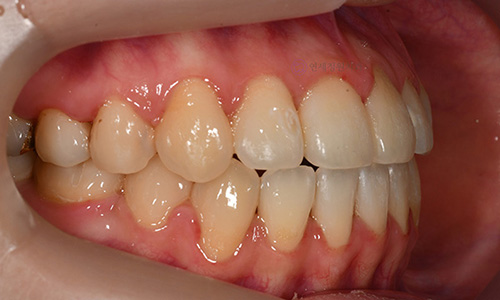
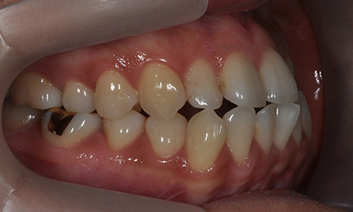
In the next case, the patient also had a noticeable midline discrepancy and crossbite—where the upper teeth bite inside the lower teeth rather than overlapping them normally.



Her facial midline and upper midline were aligned, so we extracted one lower right premolar and moved the lower arch to correct both the midline and the crossbite.



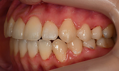
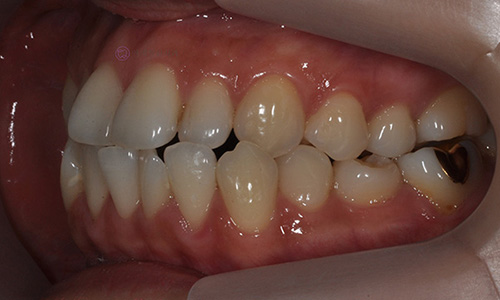
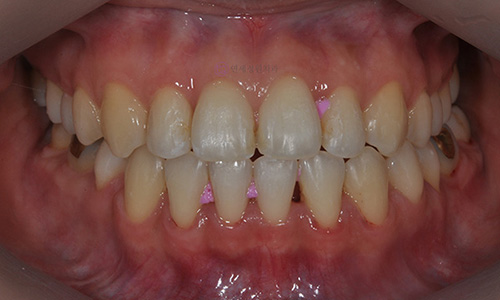
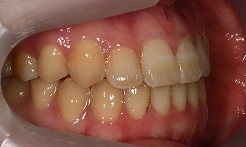
The third patient presented with a midline deviation, crowding, and crossbite.
Her upper midline was also not aligned with the facial midline—it was shifted to the right (left side in the photo).
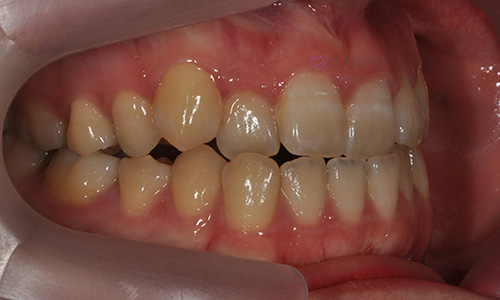
In this case, no extractions were needed. Instead, we retracted and repositioned the teeth to align both the upper and lower dental midlines with the facial center.



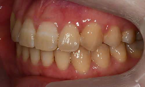
After treatment, the upper midline matched the facial midline, and the upper and lower midlines were also aligned.





While aligning crowded teeth is rewarding, correcting asymmetry through orthodontics is particularly meaningful—it’s both challenging and highly satisfying, and patients are often especially happy with the results.
Many people assume that fixing asymmetry is a complicated or invasive process, but in reality, it can often be effectively treated with orthodontics alone.
So, don’t hesitate or worry—visit us for a consultation and find out what’s possible for your smile! 😄
At Yonsei JW Dental Clinic, our orthodontic treatment fees are inclusive of all essential costs such as diagnostic and monthly treatment fees (excluding only the retainer fee), so you don’t need to worry about unexpected additional expenses.
Since our clinic also provides general dental care, all procedures necessary for orthodontic treatment—such as tooth extractions or cavity treatments—can be completed conveniently in one place.
To ease the financial burden of paying a large sum at once, we also offer a flexible installment payment plan, making treatment more affordable and accessible.
Our Chief Orthodontist, Dr. Jeongwon Youn, has specialized exclusively in orthodontics for over 16 years, treating a wide range of complex cases. With extensive clinical experience, she provides effective and precise care for various orthodontic conditions, including malocclusion, protrusion, and underbite.

When you visit Yonsei JW Dental Clinic, you can receive a free preliminary oral check-up to accurately assess your current condition and discuss your treatment options. During your consultation, we’ll also explain the different types of orthodontic appliances available to help you make an informed decision.
Our clinic is fully equipped with state-of-the-art technology for orthodontic care, including the iTero Lumina 3D intraoral scanner, growth plate analysis, and Morpheus facial scanner for before-and-after simulation—allowing for more precise and systematic treatment planning.
If you’re considering orthodontic treatment for crowded teeth, protruding mouth, malocclusion, or underbite, you’ve probably already gathered a lot of information online. Still, seeing the various appliances in person and hearing a detailed explanation will greatly help you choose the right option for your needs.
During your consultation, you’ll be able to compare different systems such as Clarity, Clippy-C, and Invisalign directly and learn about their respective advantages.
Please feel free to contact us or visit the clinic for a friendly, no-pressure consultation.
Yonsei JW Dental Clinic is conveniently located near Samseong Station, Hangnyeoul Station, Daechi Station, and Hanti Station, making it easily accessible from Seoul anywhere.
Book Online Today for Consultation!
WhatsApp: https://wa.me/8225012879
📍 Yonsei JW Dental Clinic is located at 3F, 541 Dogok-ro, Gangnam-gu, Seoul, Korea. (06189)
📅 Contact us directly via WhatsApp, Instagram DM, calling for a consultation or appointment. (02-501-2879)
WhatsAPP: https://wa.me/8225012879