Discover the best choice for a quick smile makeover — no-prep veneers vs. Invisalign Express. Learn how each treatment can enhance your smile with minimal time and discomfort.
By Dr. Jeongwon Youn, Owner and Chief Dentist of Yonsei JW Dental Clinic

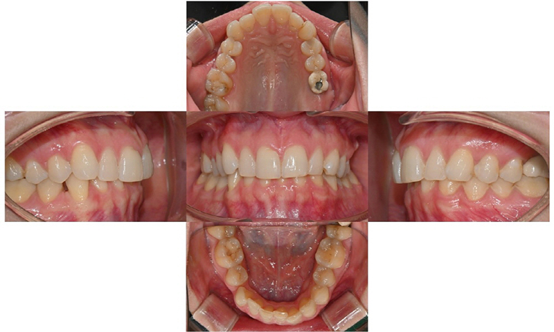
Recently, a patient from Argentina visited our clinic for a smile design consultation. She wanted to make her teeth look more harmonious when smiling.
Her smile already had a beautiful smile arc—the curve connecting her upper front teeth followed the contour of her lower lip perfectly. She was satisfied with her overall appearance, but wanted to correct the slight size difference and minor misalignment between her two front teeth to make them look more even.
She mentioned that she had started orthodontic treatment in the past but discontinued it midway. Since her current work involves frequent video recording, she preferred a discreet and quick treatment rather than one that would take a long time or be easily noticeable.


Upon examination, her left central incisor was slightly larger than the right, and there was mild crowding in both upper and lower anterior teeth. She had previously undergone extraction orthodontics—her lower first premolars had been removed, leaving a small gap on the right side. In addition, due to deep overbite, her lower front teeth were barely visible. She also had a dental implant on her lower left first molar, while the second molar was missing.


To comprehensively correct all these issues, full-mouth re-orthodontic treatment would have been ideal. However, considering her limited time and preference for minimal intervention, we discussed two treatment options focused only on improving the alignment of her upper front teeth:
- No-prep or minimally invasive laminate veneers, and
- Invisalign Express, a short-term orthodontic system designed to finish treatment within about 2–3 months.
To improve tooth size and shape symmetry, I recommended no-prep veneers as one option, and Invisalign Express as another for minor alignment correction.


The patient chose Invisalign Express, since it could achieve her desired results quickly without permanently altering her natural teeth.
Because she had a previous experience of quitting orthodontic treatment, she preferred an option that would not take long or cause discomfort. Once she learned that Invisalign Express could correct her smile discreetly within just a few months, she felt relieved and excited.
Originally, she came in considering veneers, but even though modern veneer techniques are minimally invasive, she still had concerns about altering her natural enamel. Through the consultation, she realized that short-term clear aligner treatment could also effectively enhance her smile with minimal intervention.
This case illustrates that even for similar concerns, the ideal treatment plan can vary greatly depending on each patient’s goals, lifestyle, and schedule. If you are considering improving your smile, we recommend visiting the clinic for a simple consultation to explore which treatment best suits your needs.

Yonsei JW Dental Clinic is located at 3F, 541 Dogok-ro, Gangnam-gu, Seoul, Korea. (06189)
Convenient and free parking available
For consultations and inquiries: 02-501-2879
Book Online Today!
Whatsapp: https://wa.me/8225012879
Please feel free to contact us for any questions!
Thank you very much.
#InvisalignExpress #NoPrepVeneers #SmileDesign #CosmeticDentistry #DaechiDentalClinic #SeoulDentist #ClearAligners #VeneerTreatment #KoreanDentistry #YonseiJWDentalClinic #DentalAesthetics #QuickSmileMakeover