"Discover why Korea is becoming a top destination for dental care. From cavity fillings and crowns to root canal therapy and teeth whitening, patients benefit from advanced technology, skilled dentists, and affordable treatment options without compromising on quality."
When it comes to dental treatment, more and more international patients are visiting Korea not only for cosmetic procedures but also for essential treatments such as cavity fillings, crowns, and root canal therapy. These treatments are crucial for saving natural teeth and restoring function and aesthetics.
One of the reasons Korea is becoming such a popular destination for dental care is the balance it offers between affordability and quality. Patients often find that treatment costs are lower compared to many other countries, while the standard of care remains extremely high. Korean dental clinics are equipped with state-of-the-art technology, and dentists are highly trained, often with international experience.
This combination of reasonable pricing, advanced facilities, and skilled professionals makes Korea an attractive option for patients seeking both essential and cosmetic dental care.
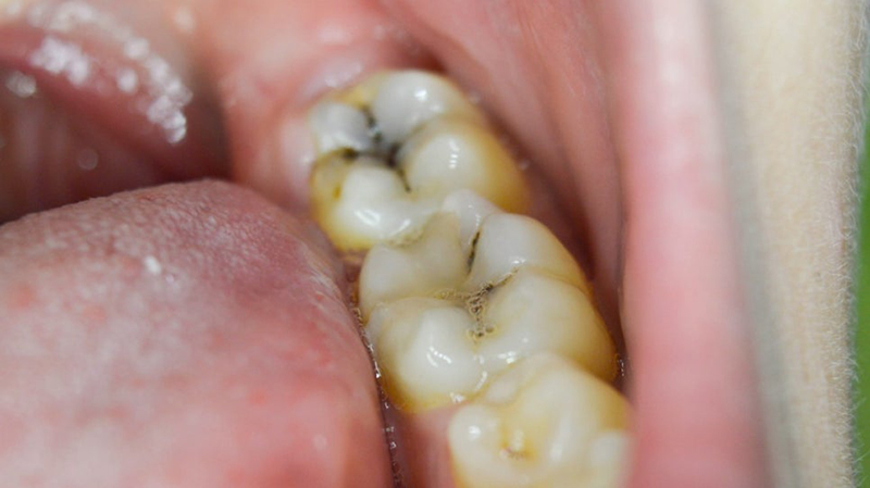
Tooth decay is one of the most common dental problems worldwide, and if not treated in time, it can lead to severe pain, infection, and even tooth loss. In this post, we’ll introduce three major treatment options: tooth fillings, dental crowns, and root canal therapy.

1. What Causes Cavities?
Cavities (dental caries) occur when bacteria produce acid that breaks down the enamel. If untreated, decay progresses deeper into the dentin and pulp, eventually requiring more complex treatments.

2. Tooth Fillings
- When it’s used: Small to medium cavities.
- Procedure: The decayed portion is removed and filled with composite resin, ceramic, or other durable materials.
- Benefits:
- Usually completed in one visit
- Preserves most of the natural tooth
- Cost-effective solution
3. Dental Crowns
- When it’s used: Larger cavities, or when the tooth is too weak for a filling.
- Procedure: After removing decay, the tooth is reshaped and covered with a custom-made crown (ceramic, zirconia, or porcelain-fused metal).
- Benefits:
- Strong and long-lasting
- Restores both function and aesthetics
- Protects fragile teeth from further damage

4. Root Canal Therapy (RCT)
- When it’s used:
When decay has reached the pulp (nerve) of the tooth, causing severe pain or infection. - Procedure:
The dentist removes the infected pulp, cleans the canals, and seals them. Afterward, the tooth is usually restored with a crown for strength. - Benefits:
- Saves the natural tooth (avoids extraction)
- Relieves pain and infection
- Restores normal chewing function

5. Why Choose Korea for Dental Care?
- Advanced Technology: Digital X-rays, microscopes, and CAD/CAM systems ensure precise and efficient treatments.
- Skilled Specialists: Korean dentists are highly trained in restorative and endodontic procedures.
- Affordable Options: Treatments are often more cost-effective compared to many Western countries.
- Patient-Friendly Clinics: English-speaking staff and flexible scheduling for international patients.
6. Prevention is Key
While fillings, crowns, and root canals can restore damaged teeth, prevention is always better. Regular check-ups, professional cleanings, and good oral hygiene habits will help minimize the risk of cavities and complex treatments.
✨ Conclusion:
From simple fillings to advanced root canal therapy, Yonsei JW Dental Clinic offers world-class treatment options for cavities. Whether you’re experiencing minor decay or severe tooth pain, timely care can save your teeth and restore your smile.

At our clinic, Dr. Ji Ho Ahn, a board-certified prosthodontist and adjunct professor at Seoul National University, leads the team. With her extensive experience in restorative and prosthetic dentistry, patients can be assured that they are receiving treatment from a specialist who not only practices but also teaches advanced dental techniques at one of Korea’s most prestigious universities. Her expertise ensures that even the most complex restorative cases are handled with the highest level of care and precision.
Promotions
Dental treatments in Seoul: Summer Promotions @Yonsei JW Dental Clinic
✓ Cavity treatment & tooth fillings✓ Professional teeth cleaning✓ Inlays & crowns✓ Root canal therapy✓ Laser teeth whitening✓ Dental implants 🌐 English speaking dentists & staffs Our experienced team provides natural, long-lasting results us
yonseijwdental.tistory.com
Google Map and Reviews
연세정원치과 Yonsei JW Dental Clinic · 서울특별시 강남구 대치동 도곡로 541 3층
4.9 ★ · 서울특별시의 치과의사
www.google.com
Book Online Today!
Whatsapp: https://wa.me/8225012879
Marketing, Customer Service & Concierge Service
Powered by Find Clinic
